티스토리 뷰
결핵 원인, 증상, 감염 및 예방 이것만 기억하자!
컬쳐문화 2024. 2. 16. 02:31목차

소개
결핵은 주로 폐에 영향을 미치지만 신체의 다른 부분에도 영향을 미칠 수 있는 마이코박테리움 결핵에 의한 박테리아 감염입니다. 결핵은 매년 수백만 건의 새로운 사례가 보고되는 등 세계적으로 중요한 건강 문제입니다. 결핵은 치료되지 않으면 심각하고 잠재적으로 생명을 위협하는 질병이 될 수 있지만 적절한 의학적 개입으로 예방 및 치료가 가능합니다. 결핵의 원인, 증상 및 예방 전략을 이해하는 것은 결핵의 확산을 통제하고 공중 보건에 미치는 영향을 줄이는데 매우 중요합니다.
본문
1) 결핵의 원인과 전염
결핵은 감염된 개인이 기침, 재채기, 또는 말을 할 때 공기를 통해 전파되어 박테리아가 포함된 호흡기 비말을 환경으로 방출합니다. 감염된 사람과의 가깝고 장기간의 접촉은 전염의 위험을 증가시킵니다. 과밀한 생활 조건, 나쁜 환기, 그리고 손상된 면역 체계와 같은 요인들이 결핵의 확산에 기여할 수 있습니다. 결핵은 주로 폐에 영향을 미치지만, 몸의 다른 기관과 조직에도 영향을 미칠 수 있습니다. 박테리아가 존재하지만 증상을 일으키지 않는 잠복 결핵 감염자는 면역 체계가 약화되면 활동성 결핵병에 걸릴 수 있습니다.
2) 결핵 증상
결핵의 증상은 감염이 활발한지 아니면 잠복하는지, 영향을 받는 장기나 조직에 따라 증상이 다릅니다. 폐결핵의 경우 지속적인 기침, 흉통, 기침으로 피나 객담, 피로, 발열, 야간 땀, 설명할 수 없는 체중 감소 등의 증상이 나타날 수 있습니다. 폐외 결핵은 림프절 부종, 관절통, 복통, 신경학적 증상 등 해당 부위에 특정한 증상을 유발할 수 있습니다. 잠복 결핵 감염은 증상을 유발하지 않을 수 있으며, 활동성이 생길 때까지 감염 사실을 인지하지 못할 수 있다는 점에 유의해야 합니다.
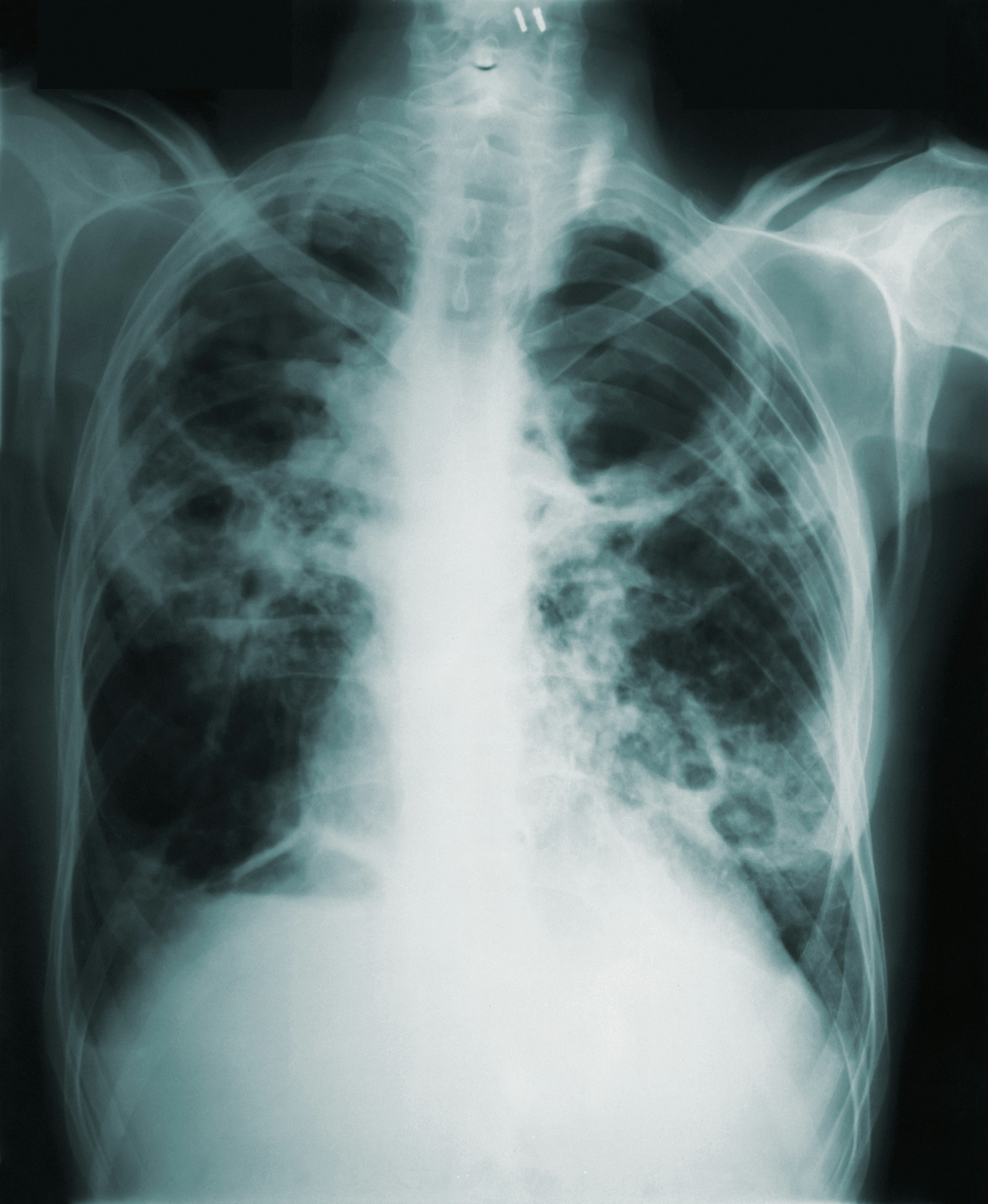
3) 결핵 진단 및 치료
결핵 진단에는 일반적으로 병력, 신체 검사, 영상 검사(흉부 X선 등), 실험실 검사(스푸텀 분석 및 투베르쿨린 피부 검사 등)가 결합됩니다. 결핵 치료는 일반적으로 박테리아를 죽이고 항생제 내성 균주의 발달을 막기위해 몇 달 동안 복용하는 항생제의 조합으로 구성됩니다. 결핵 진단을 받은 개인은 성공적인 박테리아 박멸과 감염의재발을 방지하기 위해 의료 기관의 규정에 따라 전체 치료 과정을 완료하는 것이 필수적입니다. 또한 활동성 결핵 환자의 밀접 접촉자에 대해 잠복 결핵 감염여부를 검사하고 필요한 경우 예방적 치료를 제공할 수 있습니다.
4) 결핵 예방
결핵 예방은 전염 위험을 줄이고 박테리아의 확산을 통제하기 위한 다면적인 접근 방식을 포함합니다. 여기에는 활성 사례의 조기 발견 및 치료, 양질의 의료 및 진단 서비스에 대한 접근 보장, 의료 환경 및 지역 사회의 감염 관리 조치 시행이 포함됩니다. BCG(바실 칼메트-게린) 백신 접종은 어린이의 심각한 형태의 결핵을 부분적으로 보호할 수 있지만 결핵 발병률이 낮은 국가에서는 널리 사용되지 않습니다. 기타 예방 조치에는 생활 조건 개선, 건강의 사회적 결정 요인 해결, 결핵 전염 및 예방에 대한 인식 및 교육 촉진이 포함됩니다.
결론
결핵은 여전히 세계적으로 중요한 보건 문제로 남아 있지만 올바른 개입과 전략으로 결핵의 영향을 완화할 수 있습니다. 결핵의 원인, 증상 및 예방을 이해하는 것은 결핵의 확산을 통제하고 개인과 지역 사회에 미치는 부담을 줄이는데 필수적입니다. 조기 발견, 신속한 치료 및 예방 조치 준수는 결핵을 퇴치하고 이 전염병을 제거하는 목표를 달성하는 데 핵심입니다. 지역, 국가 및 글로벌 수준에서 협력함으로써 결핵이 없는 세계를 향한 상당한 진전을 이룰 수 있으며 모두에게 더 나은 건강 결과를 보장할 수 있습니다.